ブログ
Blog
ブログ
Blog
こんにちは!かねこ歯科クリニック 馬場です🐴
今年もあと少し、体調に気をつけて元気に過ごしたいですね(^^)
実はこの秋から、小学6年生の息子が、矯正治療をスタートしました🌟
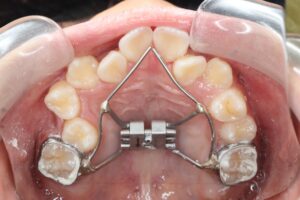
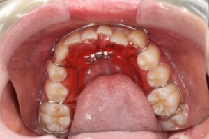
乳歯から永久歯にはえかわる時に、顎が小さいためか、歯が重なり合うように。
食べものがつまりやすく、歯みがきもとても難しそうでした。
先生に診ていただいたところ、「今ならまだ小児矯正が間に合う」と言っていただき、矯正治療をはじめることにしました。

まずは土台づくりから。上下とも歯を並べるスペースをつくるための拡大装置です。


最初は「しゃべりにくい~」とブーブー言っていましたが(笑)、すぐに慣れました(^_^)
歯みがきの大切さも実感しているようで、丁寧に磨いています。(うれしい成長です✨)
これから少しずつ変わっていく歯並びを、いっしょに見守っていきたいと思います☺🦷