ブログ
Blog
ブログ
Blog
こんにちは🌞 かねこ歯科クリニック塩見です🌼 暖かい日が増えてきましたね🌷 今日は、当院で行っているインビザライン(マウスピース)矯正での症例を…
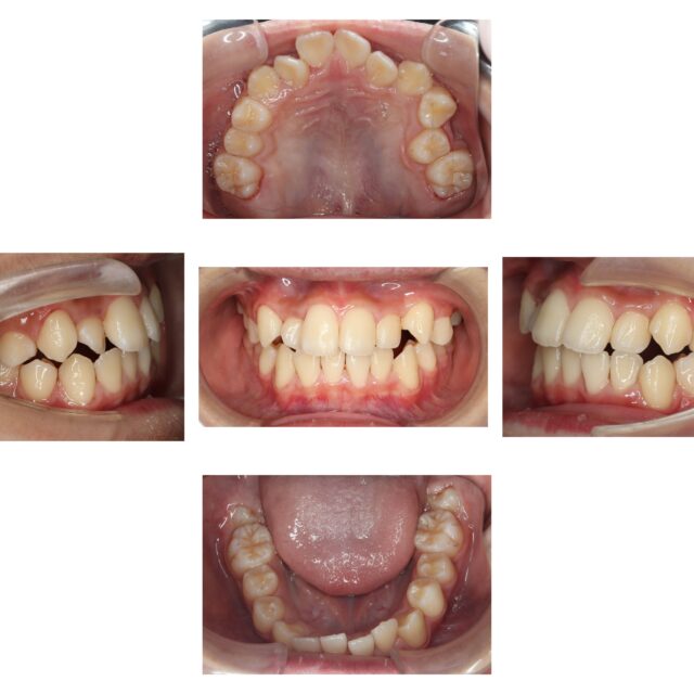
こんにちは😊 かねこ歯科クリニック塩見です🌼 12月に入り、寒くなってきました⛄ 風邪などに気を付けながら元気に冬を乗り越えたいですね! さて、本日は小児矯正(…
こんにちは⛄受付の平田です🍑 寒くなってきた!と思ったら乾燥がすごくて大変です💦乾燥注意報も出てるそうですよ⚠ さて本日は小児矯正を始めるまでの流…
みなさんこんにちは🌞 かねこ歯科クリニック塩見です🌻 台風などの影響もあり、お天気の悪い日が続きましたね☔ 今日は、当院で行っている小児矯正(マイ…
こんにちは⛄ かねこ歯科クリニック受付の永本です🌞 皆様、新年明けましておめでとうございます🌸 本年もどうぞよろしくお願い致します😊 今年も素敵な1年にしてい…
こんにちは👻 かねこ歯科クリニック受付永本です🎃 紅葉がキレイになってきましたね💛 寒くなってきたので暖かくしてお過ごしください♪ 今日は、インビザライン矯正…
こんにちは☀️ かねこ歯科クリニック受付の永本です☆ すっかり寒くなってきましたね🥶 体調には十分気をつけてお過ごしください♪ さて、今日から私のインビザライン(マウスピース矯…
こんにちは。かねこ歯科クリニックです! 今回はインビザラインというシステムを使ったマウスピース矯正のご紹介です。 オエッとしない型取り光学印象で、お口をスキャンしてインビザライン治療を始めていきます。 イン…