スタッフブログ~インビザライン(マウスピース)矯正の症例紹介~
- 2026年4月14日
- 矯正 インビザライン
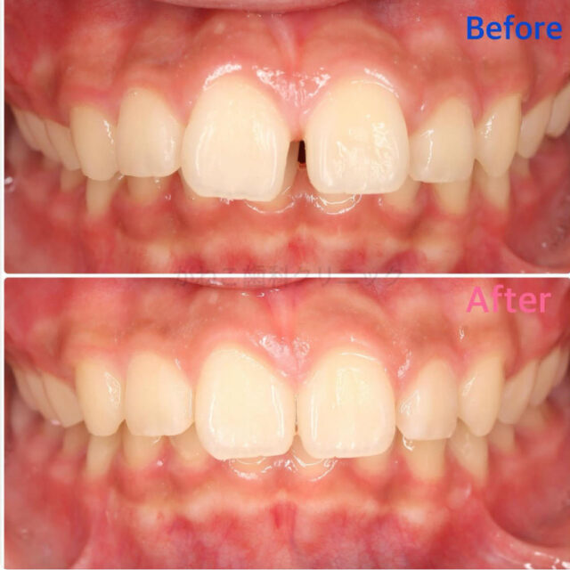
こんにちは🌞 かねこ歯科クリニック塩見です🌼 暖かい日が増えてきましたね🌷 今日は、当院で行っているインビザライン(マウスピース)矯正での症例を…
ブログ
Blog
こんにちは🌞 かねこ歯科クリニック塩見です🌼 暖かい日が増えてきましたね🌷 今日は、当院で行っているインビザライン(マウスピース)矯正での症例を…