ブログ
Blog
ブログ
Blog
こんにちは!かねこ歯科クリニック 馬場です🐴
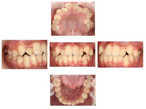
昨年秋から、矯正治療をはじめた息子の経過についてお話します。

↑こちらが始める前の写真です

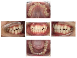
↑現在の写真です
以前と比べると、少しずつ歯が動き、並ぶためのスペースが広がってきました🦷✨
重なっていた部分にも変化が出てきて、「ちゃんと動いてる!」と実感しています。
目に見える変化が出てくると、やっぱり嬉しいですね(*^^*)
これからさらに歯が動いていくと思うので、どんなふうに変化していくのか楽しみです✨
引き続きしっかりケアしていきたいと思います!